
SERVIÇOS
DOCUMENTAÇÃO ORTODÔNTICA
O que é:
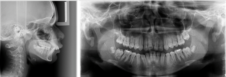
É um conjunto abrangente de registros diagnósticos utilizados para avaliar a condição dentofacial de um paciente, planejar o tratamento ortodôntico e monitorar o progresso ao longo do tempo realizado pelo Ortodontista. Criamos alguns tipos de documentação para facilitar a sua solicitação. Veja qual encaixa melhor para o seu paciente.
Documentação Ortodôntica Econômica
(PAN + TELE + 1 ANÁLISE + 6 FOTOS + PASTA SIMPLES)
Indicação:
Para paciente que precisa realizar ou já está realizando tratamento ortodôntico não precisa de modelo ortodôntico.
Tempo de realização do exame:
20 minutos.
Documentação Ortodôntica Simplificada
(PAN + TELE + 2 ANÁLISE + 2 PERIAPICAIS ANTERIORES + 6 FOTOS + MODELO DE ESTUDO + PASTA SIMPLES + CAIXA SIMPLES)
Indicação:
Para paciente que precisa realizar ou já está realizando tratamento ortodôntico que não precisa realizar radiografias interproximais.
Tempo de realização do exame:
35 minutos.
Documentação Ortodôntica Completa
(PAN + TELE + 2 ANÁLISE + 2 PERIAPICAIS ANTERIORES + 4 INTERPROXIMAIS + 6 FOTOS + MODELO DE ESTUDO + PASTA PVC + CAIXA PVC)
Indicação:
Para o paciente que precisa realizar ou já está realizando tratamento ortodôntico que precisa de todos os exames completos descritos acima.
Tempo de realização do exame:
40 minutos.






